ホワイトニングについて

白く美しい歯がつくる素敵な笑顔
ホワイトニング剤を塗布することで、歯の表面の黄ばみ色素を分解して歯を漂白していきます。歯科医院で行うオフィスホワイトニングと、家で行うホームホワイトニング、オフィスとホームを両方行うデュアルホワイトニングなどの方法があります。
当院のホワイトニング
メニューについて

ホームホワイトニング
患者さま専用のマウスピースを製作し、患者さま自身がマウスピースの中にホワイトニングジェルを入れて、家で毎日一定時間装着して漂白する方法です。お手軽にご自身のペースで歯を白くすることが可能です。
ホワイトスポット治療
![]()
ホワイトスポット治療とは
ホワイトスポット治療とは、歯の表面にできる白いシミのような部分を目立たなくする治療です。この白い部分は、歯の表面が弱くなってしまったことが原因ででき、特に矯正治療が終わったあとや、虫歯の初期段階でよく見られます。見た目が気になることが多いため、治療を行うことで自然な歯の色に戻すことができます。
当院のホワイトスポット治療
アイコン治療
アイコン治療とは、歯の表面にできたホワイトスポットや初期の虫歯を削らずに治療できる方法です。特殊な樹脂(レジン)を歯の表面に浸透させることで、ホワイトスポットを目立たなくします。
アイコン治療の特徴
- 削らない歯を削る必要がないため、痛みや不快感が少ないです。
- 短時間で完了治療は比較的短時間で終わり、通院回数も少なくて済みます。
- 審美的効果白い斑点が自然な歯の色に馴染むことで、見た目が改善されます。
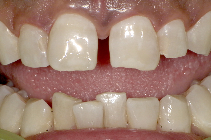
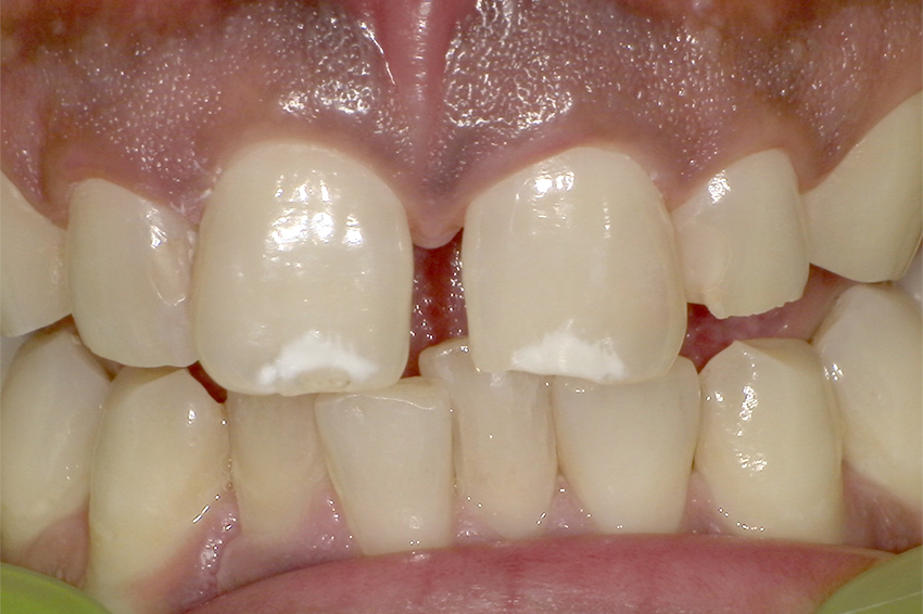
ホワイトスポットの治療症例
case:1
治療前
治療後
case:2
治療前
治療後
料金表
| ホームホワイトニング | 19,800円(税込) |
|---|---|
| アイコン | 1歯22,000円(税込) |