入れ歯について

硬いものが噛めない、入れ歯が外れそうで人前で笑えない、など入れ歯の不満やお悩みを抱えてはいませんか?
当医院では、一人ひとりのご不満・ご要望にお応えできるように、保険診療の入れ歯から自由診療(自費診療)の入れ歯まで様々な種類をご用意しています。
お口にぴったりと合う精密なオーダーメイド入れ歯で、毎日の楽しい食事と楽しく活動的な生活を取り戻しましょう。
入れ歯の種類
入れ歯は大きく分けて「総入れ歯」と「部分入れ歯」に分類することができます。
-
総入れ歯
全ての歯を失ってしまった場合に使う入れ歯です。顎の裏面も覆うような大きな入れ歯のことを指します。全ての歯を人工歯によって補います。
-
部分入れ歯
歯を失った部分にのみ使用する入れ歯です。歯が1本でも残っていれば、部分入れ歯を作ることになります。 残っている健康な歯を利用して入れ歯を固定します。
入れ歯の種類
-
ノンクラスプ・デンチャー
一般的な部分入れ歯に使用されるクラスプや金具がないため、見た目が自然で周囲から入れ歯だと気づかれにくいのが大きな特徴です。また金属を使用しないことが多く、金属アレルギーの方も安心してご使用いただけます。
こちらは自費診療(保険外診療)による入れ歯になります。
-
金属床義歯
床の部分が金属で出来た入れ歯です。金属の強度を利用して床部分を薄くすることができるため、入れ歯の厚みを最小限に抑えつつも強度を確保できます。また、金属の特性から熱伝導率に優れており、食べ物の温度を感じることで食事を自然に楽しむことができます。
こちらは自費診療(保険外診療)による入れ歯になります。
完成までの流れ
-
カウンセリング
-
必要な虫歯治療
-
型取り
-
噛み合わせ確認
-
試着
-
調整
-
治療終了
-
メインテナンス
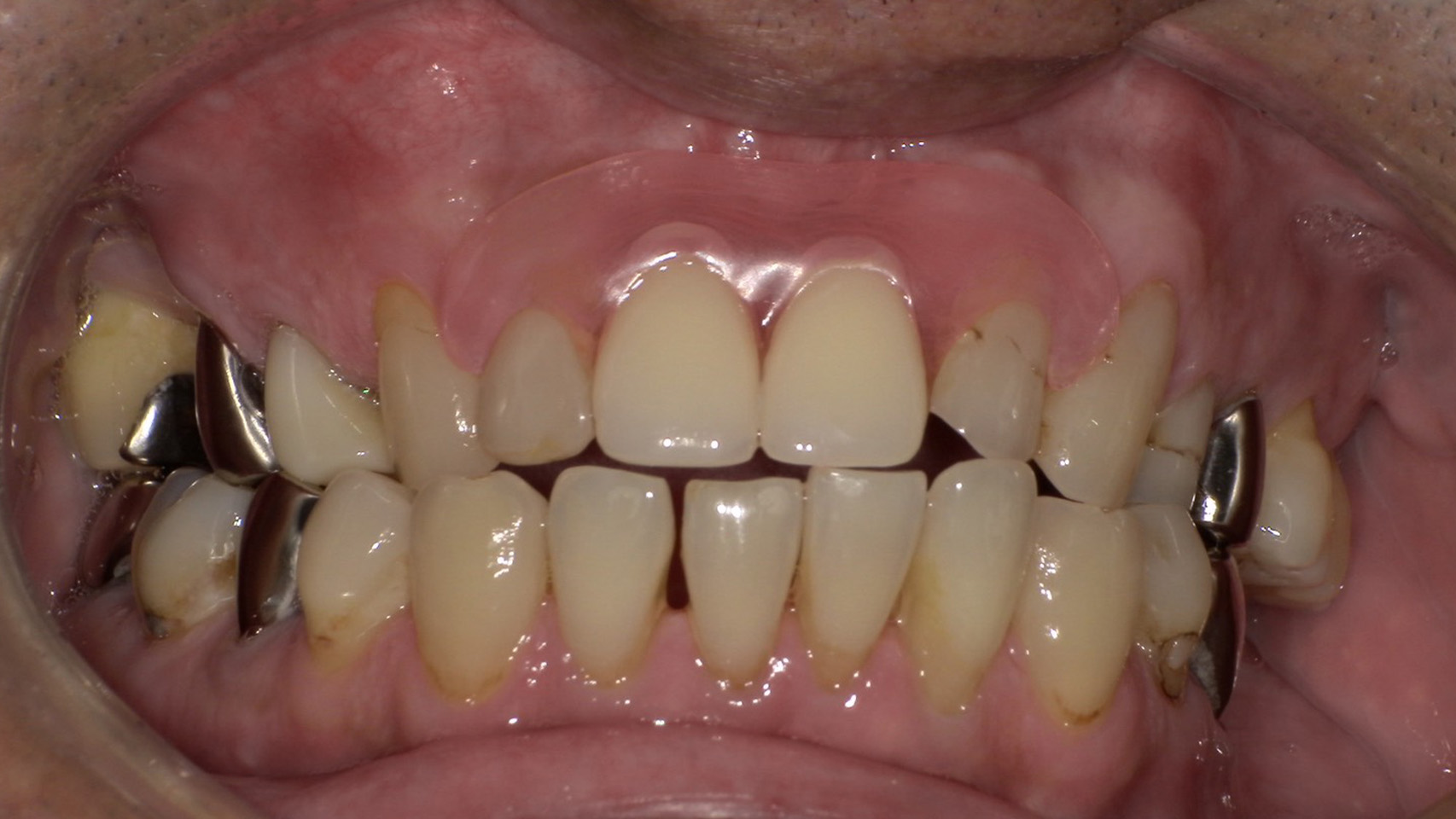
入れ歯 症例
case:1
治療前
治療後
| 主訴 | 上の歯を入れたい |
|---|---|
| 治療期間 | 3回 |
| 治療費 | 130,000円 |
| 治療内容 | ノンクラスプデンチャー |
| 治療のリスク | ・自費診療で費用がかかる ・前後の歯の状態によっては 適用外の場合がある |
case:2
治療前
治療後
| 主訴 | 事故で前歯が折れてしまった |
|---|---|
| 治療期間 | 2回 |
| 治療費 | 77,000円 |
| 治療内容 | ノンクラスプデンチャー |
| 治療のリスク | 残っている歯の状態によっては適応できない場合がある |